1. Accueil
  2. Actualités / podcasts
  3. Bonjour et bienvenue au ski !
Retour

Bonjour et bienvenue au ski !

Publié le 8 mars 2024 -


Aujourd'hui, le Docteur Julien Beldame, chirurgien orthopédiste à l'Institut de la Cheville et du Pied, à Paris (ICP Paris) et à la Polyclinique de Picardie, à Amiens nous donne des conseils importants sur la traumatologie spécifique du pied et de la cheville lors de la pratique du ski alpin.
 
Contrairement à d'autres sports, les traumatismes liés au ski sont très particuliers en raison de l'immobilisation totale que la chaussure impose au médio pied et à la cheville.
 
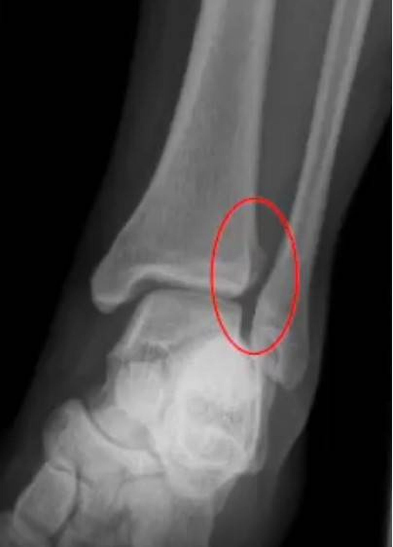
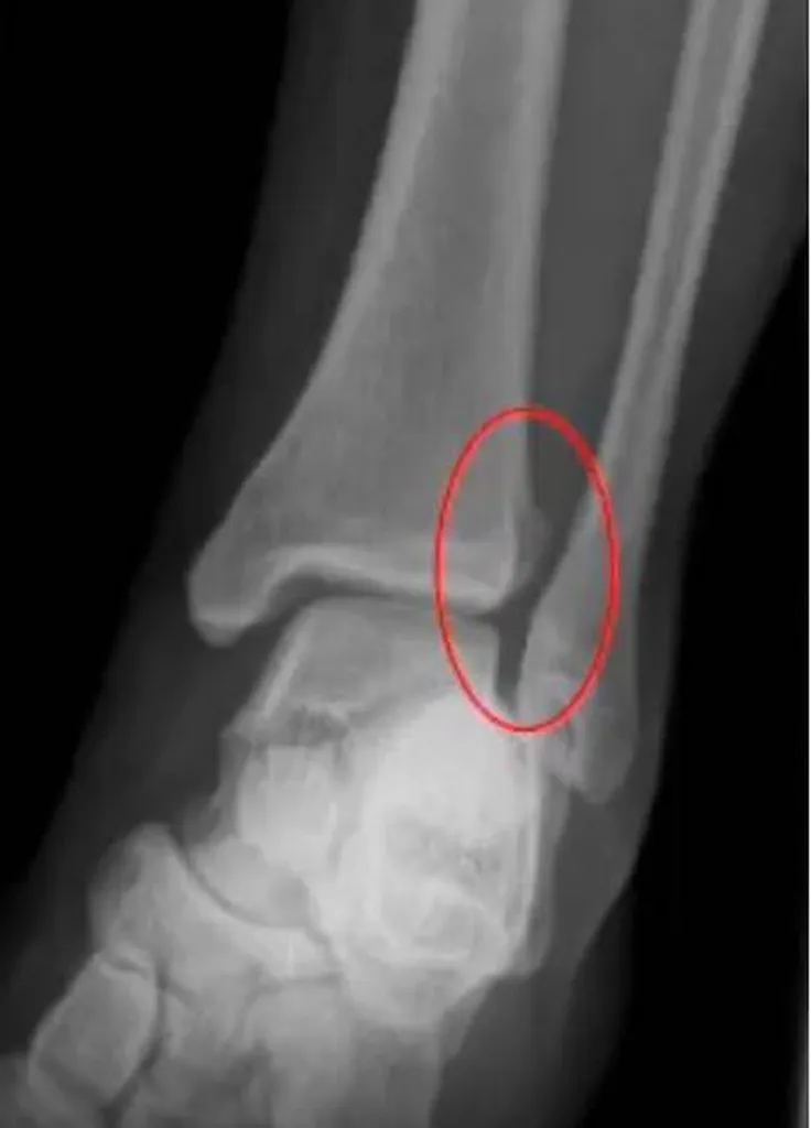
Les blessures peuvent se situer plus haut, comme les fractures de jambes ou les traumatismes des genoux. Cependant, il existe également des traumatismes spécifiques de la cheville, notamment des traumatismes en rotation.
 
Les traumatismes en rotation sont particulièrement dangereux car la chaussure de ski ne limite pas ce mouvement. Les ligaments entre le tibia et le péroné sont susceptibles d'être rompus, entraînant des douleurs importantes.
 
Les radiographies initiales peuvent sembler normales, ce qui rend crucial de consulter un chirurgien spécialisé dans la cheville et le pied pour des examens plus approfondis, tels que l'IRM et des radiographies en charge, pour détecter ces blessures ligamentaires.
 
Soyez vigilants et n'hésitez pas à consulter un spécialiste en cas de douleurs persistantes.
 
Bon ski !
Et n'hésitez pas à regarder l'interview ci-dessous ou sur LinkedIn !
https://www.linkedin.com/feed/update/urn:li:activity:7170474306492178432/
Partager :
À découvrir
Fiche patient

FICHE PATIENT "ONGLE INCARNE", à télécharger, mise au point de cette pathologie spécifique du pied par le Docteur Julien Beldame

Publié le 29 octobre 2022 - L'ONGLE INCARNE ou onychocryptose est le résultat d'un conflit entre la tablette unguéale et les tissus péri-unguéaux.COMMENT SOIGNER UN ONGLE INCARNE ?Retrouvez la FICHE PATIENT, à télécharger ci-desous, du docteur Julien Beldame, chirurgien orthopédiste à l'Institut ...
En savoir plus
Docteur Julien Beldame, chirurgien orthopédique du pied et de la cheville, exerce à l'ICP Paris, à Amiens et à Dieppe

Rencontre avec le Docteur Julien Beldame, chirurgien orthopédiste dédié exclusivement au membre inférieur, quelles sont les pathologies que vous traitez ?

Publié le 24 juillet 2023 -Rencontre avec le Docteur Julien Beldame, chirurgien orthopédiste spécialisé dans le membre inférieur, quelles sont les pathologies traitées ?   "Avec une expertise en chirurgie orthopédique et traumatologique, je me consacre exclusivement au traitement des affections ...
En savoir plus
Retrouvez toutes les actualités autour de la cheville et du pied sur le site du Dr Julien Beldame, chirurgien orthopédiste à l'ICP Paris et à Amiens

De la chaussure à la chirurgie : les clés du Docteur Julien Beldame, chirurgien exclusif du pied et de la cheville, pour une marche sans douleur

Publié le 28 novembre 2023 - Dans le domaine de la chirurgie orthopédique et traumatologique dédiée au pied et à la cheville, le Docteur Julien Julien Beldame, praticien à l'ICP Paris et à la Polyclinique de Picardie à Amiens, invite les patients à explorer les rubriques consacrées aux pathologie...
En savoir plus
Docteur Julien Beldame
chirurgien orthopédiste, exclusif Pied Cheville - Fondateur de l'ICP Amiens
Consultations à la Clinique Jouvenet, Paris 16e
Docteur Julien Beldame, chirurgien orthopédiste, exclusif Pied Cheville - Fondateur de l'ICP Amiens - Consultations à la Clinique Jouvenet, Paris 16e